Les scans de tomographie par ordinateur (CT) sont une pierre angulaire de l’imagerie médicale, aidant les médecins à diagnostiquer diverses conditions. Mais que se passerait-il s’il y avait un moyen de rendre ces scans encore plus précis et détaillés ? Entrez dans le monde de la tomographie par comptage de photons (PCCT).
Cette nouvelle technologie promet de révolutionner l’imagerie CT, offrant plusieurs avantages par rapport à la tomographie à intégration d’énergie traditionnelle (EICT). Cet article explorera les principales différences entre PCCT et EICT, en se concentrant sur leur impact sur la détection des lésions hépatiques.
Comment Fonctionne la CT Traditionnelle (EICT) ?
Les scanners CT traditionnels, également connus sous le nom de tomographie à intégration d’énergie (EICT), mesurent l’énergie totale des rayons X traversant le corps. Ces données créent ensuite des images détaillées des organes internes, des os et des tissus.
Qu’est-ce que le Scan CT par Comptage de Photons ?
Le CT par comptage de photons (PCCT) compte les photons individuels et mesure leurs niveaux d’énergie, contrairement à la CT conventionnelle, qui mesure l’énergie totale. Cela permet d’obtenir des images avec une résolution plus élevée, moins de bruit, un meilleur contraste entre les tissus, et le potentiel de doses de radiation plus faibles.
La capacité du PCCT à différencier les matériaux en fonction de leur absorption d’énergie ouvre des portes à des applications avancées dans divers domaines médicaux , conduisant à des diagnostics plus précoces et plus précis.

Qu’est-ce qui Rend le CT par Comptage de Photons (PCCT) Différent ?
Le PCCT utilise une approche fondamentalement différente. Au lieu de mesurer l’énergie totale, il compte les photons de rayons X individuels et enregistre leur niveau d’énergie. Cela permet :
- Image Améliorée Qualité : Le PCCT produit des images avec moins de bruit et une résolution plus élevée, ce qui facilite la détection de petites anomalies ou de subtils changements.
- Dose de Radiation Réduite : Le PCCT peut atteindre la même qualité d’image avec une dose de radiation plus faible que l’EICT.
- Contraste Amélioré : Le PCCT peut différencier plus efficacement les différents matériaux, entraînant un meilleur contraste entre les tissus sains et malades.
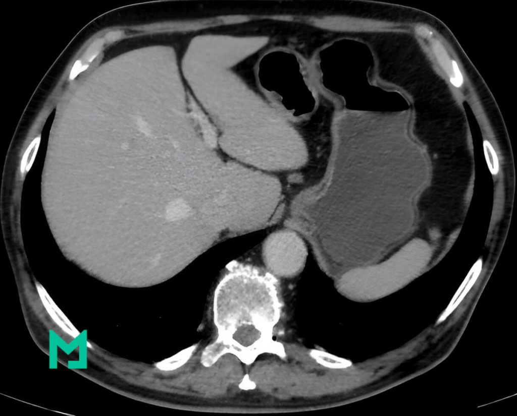
PCCT et Détection des Lésions Hépatiques
Une étude récente publiée dans le Journal of Medical Imaging a exploré les bienfaits du PCCT pour la détection des lésions hépatiques. Les chercheurs ont utilisé des simulations informatiques pour comparer les scans PCCT et EICT de foies présentant diverses lésions. Les résultats étaient impressionnants :
- Détection Supérieure des Lésions : Le PCCT a systématiquement surpassé l’EICT dans la détection des lésions hépatiques, en particulier les lésions petites ou à faible contraste.
- Image Améliorée Qualité : Les images PCCT ont montré un meilleur rapport contraste/bruit et une qualité d’image globale supérieure, facilitant l’identification et la caractérisation des lésions par les radiologues.
- Efficacité du Dosage : Le PCCT a réalisé une meilleure détection des lésions même à des doses de radiation plus faibles, minimisant potentiellement les risques pour les patients.
PCCT vs EICT : Qu’est-ce que Cela Signifie pour les Patients
The La détection améliorée des lésions et la qualité d’image offerte par le PCCT pourraient se traduire par :
- Diagnostic Précoce : Détecter les lésions hépatiques plus tôt, lorsqu’elles sont plus petites et potentiellement plus traitables.
- Diagnostic Plus Précis : Réduire le nombre de faux positifs et négatifs, menant à des diagnostics plus confiants.
- Traitement Personnalisé : Fournir des informations plus détaillées sur la taille, la forme et la composition des lésions, permettant des plans de traitement plus adaptés.
L’Avenir de l’Imagerie CT
Bien que le PCCT soit encore une technologie relativement nouvelle, les recherches préliminaires suggèrent qu’il a le potentiel d’améliorer significativement l’imagerie CT, en particulier pour la détection des lésions hépatiques. À mesure que le PCCT devient plus largement disponible, cela pourrait conduire à des diagnostics plus précis, à des interventions plus précoces et à de meilleurs résultats pour les patients.